Skip Menu
Continue
  • 950 West Avon Road
  • Suite 1
  • Rochester Hills, MI 48307
  • Call Us Today! (248) 630-3157
  • Home
  • About Us
    • Office Experience
    • Environmental Responsibility
    • New Patients
    • Smile Gallery
    • Dental Videos
    • Testimonials
  • Meet Dr. Vo
    • Tate Vo, DDS
  • Meet Our Team
  • Services
      • Restorative Dental / Fillings
      • Preventative Maintenance
      • Oral Cancer Screening
      • Children’s Dentistry
      • Root Canal / Endodontics
      • Cosmetic Dentistry
      • Assessing Your Smile
      • Dental Crowns – Bridges
      • Gum Disease Treatment
      • Teeth Whitening
      • Porcelain Veneers
      • Dental Implant Restorations
      • Dentures and Partial Dentures
    • View All
  • Dental Health
  • Patient Login
  • Contact
    • Contact Us
    • Request Appointment

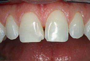
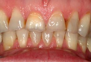
Smile Gallery

Additional Information

Our Location

950 West Avon Road
Suite 1
Rochester Hills, MI 48307
(248) 630-3157

Follow Us

icons icons icons icons icons icons icons icons icons